09
2025.05
12岁儿童突发严重过敏休克,第五附属医院PICU团队上演生命接力
4 月 27 日,第五附属医院儿童重症医学科经历了一场惊心动魄的生命救援。一名 12 岁患儿突发严重过敏反应,生命危在旦夕,儿童重症医学科(PICU)医疗团队凭借精湛的医术,将患儿从死亡边缘拉回,使其转危为安。过敏突袭:患儿陷入生死危局当日中午,患儿因咽痛、抽搐伴神志不清被紧急送到第五附属医院就医。家属诉患儿此前因咽痛自行服用鱼腥草颗粒,并在外院接受药物治疗。用药后患儿突发反复呕吐、唇部肿胀、头晕,继而出现...
09
2025.05
“基础研究-动物实验-临床转化”全链条科研平台体系全面建成
近日,国家卫生健康委发布消息,我校第八附属医院生物样本资源中心成功获批国家卫健委“中国人类遗传资源保藏”行政许可,标志着医院“基础研究-动物实验-临床转化”全链条科研平台体系全面建成,将为粤港澳大湾区医学研究提供强力支撑。第八附属医院生物样本资源中心依据《中华人民共和国生物安全法》《中华人民共和国人类遗传资源管理条例》相关规定,对照申报要求精心筹备,在组织管理、保藏方案、伦理审查、场所设施等方面...
08
2025.05
谢谢你,白衣天使——第八附属医院表彰护理工作者
5月7日,第八附属医院召开“关爱护士队伍,守护人民健康”——5·12国际护士节表彰大会,医院党政领导班子、职能科室负责人、科室护士长及护理人员代表400余人共聚一堂。大会以护士节专题视频开场,将镜头对准护理工作者,生动展现了医院护理团队传承与热爱、奋进与拼搏的精神风貌。“我们护理人员与医院高质量发展同频共振!”会上,院长沈洁向护理同仁的辛勤付出表示衷心感谢,肯定了2024年医院护理工作取得的系列成果。沈洁强...
08
2025.05
多学科协作破“迟发性隐匿传播”难题创诊疗新范式
近日,南方医院新生儿科收治了一例罕见的恙虫病东方体垂直传播新生儿病例。该病例的特殊性在于患儿母亲孕前6个月感染恙虫病且治愈,却在孕后分娩出病原体阳性早产儿。转入南方医院后,经过多学科协同救治,团队打破传统诊疗思维定式,采用大环内酯类抗生素方案成功逆转病情,并建立“特殊感染史-靶向检测-精准用药”的标准化流程。早产儿多器官功能受损,外院传统治疗无效患儿系胎龄32+3周早产儿,出生后即出现进行性加重的呼吸...
08
2025.05
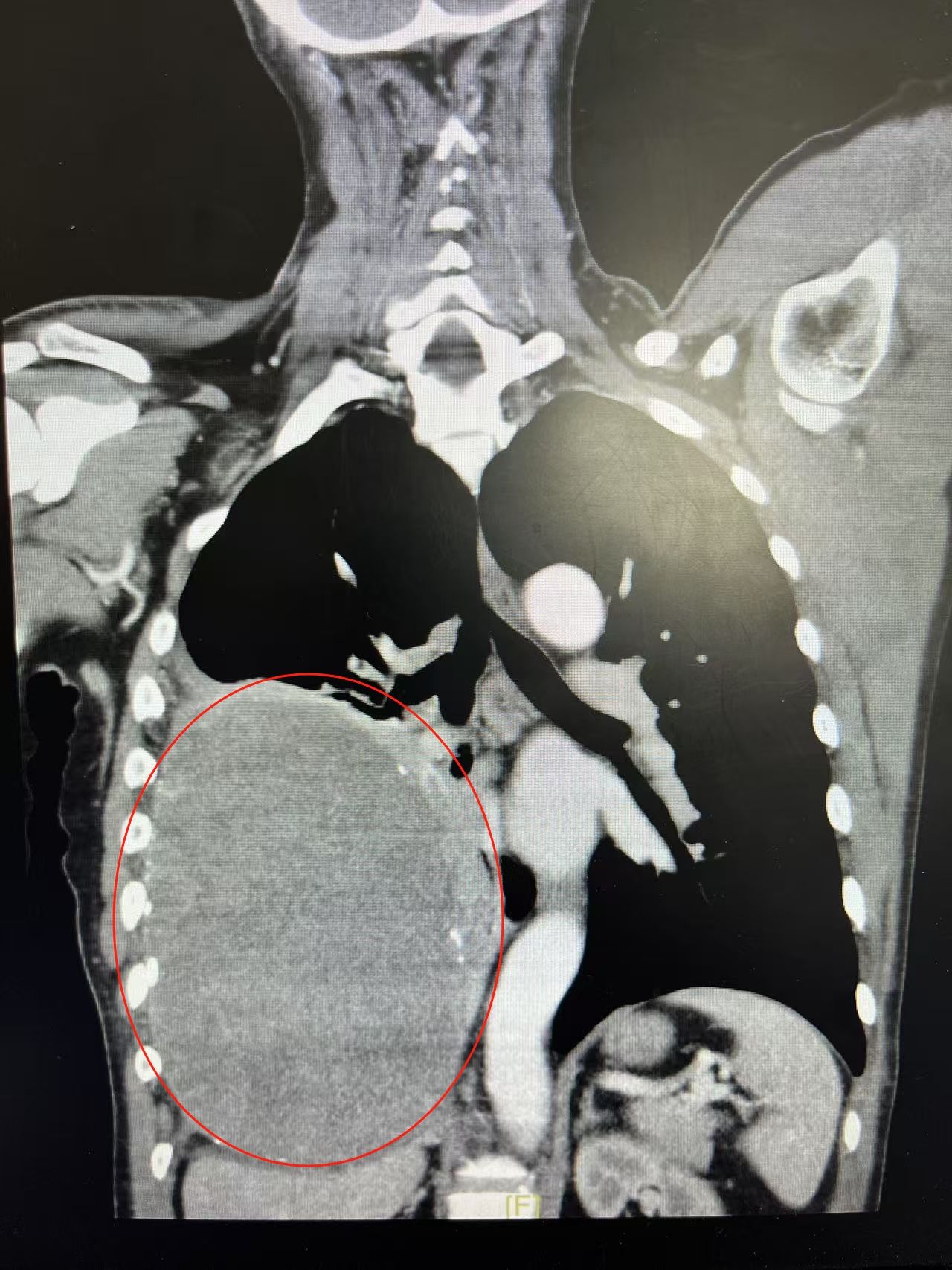
粤黔医联体协作,跨越1500公里胸腔拆弹
近日,一场惊心动魄的“胸腔拆弹”手术在珠江医院完成。来自贵州六盘水的陈先生胸腔内重达4.5斤的巨型肿瘤被成功摘除,而这场跨越1500公里的生命接力,更成为粤黔医联体协作的典范案例。绝望中的生命转机:这个手术来广州做“当时已经绝望到想放弃。”42岁的陈先生回忆,半年前出现咳血、气短症状,且越来越严重,最终被确诊为右侧胸腔20厘米的巨型肿瘤。由于肿瘤压迫心肺且体积惊人,他辗转当地包括了省级的多家医院,均被告知...
08
2025.05
粤港澳医疗融合——第八附属医院入选香港长者医疗券大湾区试点计划
5月2日,香港特区政府公布扩展“长者医疗券大湾区试点计划”,第八附属医院入选新增医疗机构名单,是顺德区内目前唯一被纳入“试点计划”的医疗机构,预计今年下半年将陆续开展服务。长者医疗券计划是香港特区政府从2009年开始推行的福利制度,符合要求的年满65岁香港长者每年可获发2000元港币的医疗券(累积上限为8000元港币),让长者在所属区域选用最切合自己健康需要的医疗服务。自香港特区行政长官在去年十月《行政长官202...
08
2025.05
珠江医院赴茂名、高州开展肾移植技术推广研讨班
近日,由广东省健康管理学会主办,珠江医院联合茂名市人民医院、高州市人民医院承办的“携手共筑生命希望——肾移植技术推广研讨班”举办。活动通过学术交流推动区域肾病诊疗水平提升,为基层终末期肾病患者提供更优质的医疗服务。首场研讨班在茂名市人民医院拉开帷幕,该院副院长黄逸生强调肾移植及透析技术对终末期肾病患者的重大意义,并期待通过交流提升区域医疗能力。珠江医院器官移植科主任刘永光以《珠江医院肾移植》为...
07
2025.05
援疆专家黄宇贤:创新技术移植“生命种子”,护卫边疆健康!
2024 年5月,随着广东省 “组团式” 援疆医疗队的接力棒交接,作为其中一员的南方医科大学珠江医院血液内科副主任黄宇贤跨越山海,踏上了南疆喀什的土地。在这片充满希望的热土上,他以技术攻坚破局、以人才培育筑基、以人文关怀暖心,用300多天的日夜坚守,开创多项造血干细胞移植技术,填补了南疆地区空白,推动南疆异基因造血干细胞移植技术的发展,用实际行动书写下粤喀情深的动人篇章。技术攻关,开创南疆“四个首例”“感...
广州校区地址:广州市白云区沙太南路 1023-1063号
顺德校区地址:佛山市顺德区容桂街道马岗大道 33号
版权所有 © 南方医科大学 粤ICP备05084331号