免疫治疗显奇效 鸡蛋大的肿瘤变蚕豆

时间:2019-03-04

点击:

“这是赚回来的一年。”陈伯很庆幸自己平安迈入人生第75个年头,三代同堂的幸福场景,陈伯以为再也看不到。经复查,他肺部原本鸡蛋大小的肿瘤已经缩小成蚕豆大小。

半年前,患肺癌晚期的陈伯从深圳医院的ICU转到普通病房,手术、放疗、化疗、姑息治疗都没法做了,他几近弥留之际,胸外科医生大胆提出一个新尝试——“免疫治疗”,为陈伯拼回一条命。

肿瘤像韭菜一样切了又长

事情要回溯到2018年6月3日,此时的陈伯已经与肺癌抗争了2年。因为忌讳手术和放化疗,他采取了保守治疗,然而病情一步步恶化,一年后,肿瘤不仅越长越大,还转移到了左右两侧的主支气管,这是人体最重要的呼吸通道,被肿瘤堵塞了,他几乎无法呼吸。肿瘤一步步的蚕食他的身体,影响正常生活。他曾多次在外院接受支气管镜气道肿瘤治疗,但斩草不除根,肺上的“原发灶”没有切除,这种治疗无济于事,就像割韭菜一样,割了又长,复发的时间越来越短,最终,医生宣布:无法再切了。

转入深圳医院胸外科时,陈伯已经开始咳血,出现严重的呼吸困难,无法睡觉,只能坐着打会儿盹。情况危急,随着肿瘤越长越大,维持生命的氧气将无法再输入到陈伯体内。

怎么办?再做支气管镜可能烧穿气管;放疗、化疗早期会出现水肿,反而可能将气管堵死。医生尝试在ECMO的辅助下,为陈伯放入支架,试图在肿瘤的包围下撑开一条生命通道,但都无法达到预期效果。这个坎儿陈伯眼看着迈不过去了。6月12日,他从ICU转回普通病房,家属基本放弃治疗,希望可以陪伴陈伯走完最后的日子。

免疫治疗“封印”疯狂肿瘤

此时,深圳医院胸外科的医生没有放弃最后的拼搏,查找国际、国内文献,并联系了香港肿瘤中心会诊,最终他们向家属提出了一个大胆的治疗方案:PD-1/PD-L1免疫疗法。陈伯是非小细胞肺癌,在世界有救治的先例。

PD-1/PD-L1免疫疗法现在备受全世界瞩目,有人称它正掀起肿瘤治疗的革命。它能充分利用人体自身的免疫系统抵御、抗击癌症,通过阻断PD-1/PD-L1信号通路使癌细胞死亡,具有治疗多种类型肿瘤的潜力,实质性改善患者总生存期。

话说,癌细胞就像揭去封印的小恶魔,疯狂复制生长,不受人体控制。而人体免疫系统就像铁甲卫士,专门负责截杀各路侵入人体的细菌、病毒等,比如细胞毒性T细胞,能够侦查到癌细胞,发出毒素,启动自毁程序,但是杀死癌细胞的同时,正常的细胞也难以幸免。聪明的科学家发现,激活一种名叫PD-1的分子,就可以让T细胞不攻击正常细胞。但癌细胞也不是省油的灯,它使用“美人计”,利用PD-L1受体与T细胞的PD-1结合,结了“姻亲”,T细胞自然对癌细胞手下留情。研究者们一直在研究如何将这场“虐恋”彻底扼杀在摇篮中,他们研究出了阻止PD-1和PD-L1结合的抗体,一种与T细胞表面的PD-1结合,使其重振往日雄风,另一种抗体与肿瘤细胞表面的PD-L1结合,让肿瘤细胞无法再迷惑T细胞。最终T细胞围剿各种肿瘤细胞,大获全胜。

6月13日,陈伯开始接受免疫治疗,然而当天晚上病情却继续恶化,各项生命体征都出现衰退,似乎已经到了生命的尽头,这个时刻,家人、医务人员都没有放弃,医生更是熬更守夜地抢救,第二天病情终于迎来可喜变化,呼吸困难改善,病情一步一步地稳定、好转,经过2个疗程的治疗,他的呼吸通畅,生活已经可以自理了。CT复查结果显示,肺炎好了,双侧胸腔积液吸收,肿瘤正在逐步缩小,从原来的“鸡蛋”缩小成了蚕豆那么大。

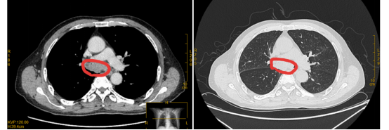
治疗前:双侧主支气管几乎被肿瘤堵死

治疗2月后:肿瘤缩小,双侧主支气管恢复通畅

〉〉科普链接

免疫疗法的疗效好吗?

陈伯可以说是幸运的宠儿,因为目前PD-1/PD-L1免疫疗法的有效率偏低,仅有10%-30%左右。唯一的例外是经典型霍奇金淋巴瘤,有效率突破60%以上。

但与传统疗法相比,免疫疗法的疗效具有持久性,部分患者能实现“临床治愈”,也就是说五年、十年不复发、不进展,成为“超级幸存者”。比如2015年,美国前总统卡特的晚期黑色素瘤就在免疫疗法的作用下消失了。据研究者观察,目前临床上晚期恶性黑色素瘤和晚期非小细胞肺癌的生存率提高了数倍:晚期恶性黑色素瘤的5年生存率从15%左右,提高到了约35%;而晚期非小细胞肺癌的5年生存率从5%左右,提高到了约15%。

除了持久性,还有另外两个优势:

广谱性:PD-1抑制剂,目前看来,对于绝大多数肿瘤,都是可以尝试的。

低毒性:PD-1抑制剂毒副作用,相对于传统的放化疗等治疗要小的多,3~4级严重不良反应的发生率,降低了一半甚至更多。

免疫疗法适用于哪些癌种?

目前,全球上市的免疫药物有5个:

O药:Opdivo(Nivolumab)

K药:Keytruda(Pembrolizumab)

T药:Tecentriq(Atezolizumab)

I药:Imfinzi(Durvalumab)

B药:Bavencio(Avelumab)

目前免疫疗法的临床试验以肿瘤突变负荷高,微卫星不稳定的肿瘤为主,包括黑色素瘤、肺鳞癌、肺腺癌、小细胞肺癌、胃肠道肿瘤、头颈癌、肝癌等。其中O药、k药已经在全球获批治疗9个癌种,各免疫药物适应症详见下表:

癌症疗法这么多,哪个最好?

手术治疗:直击病灶,切除干净,适合绝大部分早中期恶性肿瘤及部分局部晚期恶性肿瘤。

化疗、放疗:细胞层面的治疗,具有广谱性,适用于大多数癌症,其战斗力强劲,但不够“聪明”,杀敌一千自损八百,杀死癌细胞的同时,也可能把身体内的好细胞杀死。

靶向药物治疗:分子层面的治疗,药物进入体内会特异地选择致癌位点来相结合发生作用,使肿瘤细胞特异性死亡,而不会波及肿瘤周围的正常组织细胞,所以分子靶向治疗又被称为“生物导弹”,疗效较好,副作用较小,但容易出现耐药,且只能用于经基因检测明确存在某些基因突变的癌症患者,如EGFR、ALK等阳性者。

免疫治疗:去除癌细胞表面的免疫屏蔽,激发并应用自身免疫力杀灭癌细胞,疗效维持的平均时间较长,副作用较小,但目前使用于比较少的癌种,有效率偏低。

专家提醒,每个疗法都有自己的特点,根据患者不同的情况,不同的病情,医生会制定复合治疗方案,最大可能的发挥每种治疗的优点,让癌症患者获得更好的治疗。

广州校区地址:广州市白云区沙太南路 1023-1063号

顺德校区地址:佛山市顺德区容桂街道马岗大道 33号

版权所有 © 南方医科大学  粤ICP备05084331号