南方医院实施首例经皮微创硬纤维瘤冷冻消融术

时间:2020-08-21

来源:南方医院

点击:

近日,南方医院创伤骨科骨软组织肿瘤亚专业组与介入科通力合作,成功完成了该院首例经皮微创硬纤维瘤冷冻消融术。经过术前缜密规划设计,在C臂CT引导下,在局麻下,进行了髂腰部硬纤维瘤的冷冻消融。手术过程顺利,术后影像显示疗效满意,患者隔天即顺利出院。

硬纤维瘤是一种常见的侵袭性中间性软组织肿瘤,手术复发率很高,无有效治疗药物,是国际公认的治疗难题。该青少年患者8年间经历南方医院和中山一院两次手术,并尝试了靶向药物,均复发难以控制。基于我院骨软组织肿瘤亚专业在开放性冷冻消融十余年的临床应用经验,经科室余斌主任组织讨论,决定针对该患者采用影像引导、经皮冷冻消融技术。

骨与软组织肿瘤的冷冻消融是南方医院的特色技术,并处于国内领先地位。科室主任余斌指出,影像引导、微创和机器人辅助是我科骨软组织亚专业的发展方向。(创伤骨科张凯瑞)

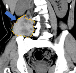
图1 术前CT:黄色虚线边框示硬纤维瘤大小

图2 术后即刻CT:黄色虚线边框示硬纤维瘤,红色虚线示冷冻消融范围及效果

广州校区地址:广州市白云区沙太南路 1023-1063号

顺德校区地址:佛山市顺德区容桂街道马岗大道 33号

版权所有 © 南方医科大学  粤ICP备05084331号