04
2025.12
千里“医”线牵,粤黔联手为一岁婴童取出“致命硬币”
一次看似普通的因“咳嗽、流涕”入院,却牵出一场隐藏在患儿食道内长达近一个月的生命危机。11月27日,剑河县人民医院上演了一场与时间赛跑的生命救援,在第八附属医院帮扶专家与当地医院医护团队的通力协作下,成功为一名1岁男婴取出卡在食道内的一元硬币,避免了可能发生的食道穿孔大出血等致命风险。肺炎表象下的真正元凶11月26日17:09,一名年仅1岁的男婴因咳嗽、流涕和鼻塞入剑河县人民医院,并初步诊断为支气管肺炎。然而...
04
2025.12
广东省骨科研究院实验动物屏障设施获准启用
近日,广东省骨科研究院科技大楼实验动物屏障环境设施顺利通过广东省科学技术厅专家组现场评审,并于11月27日正式取得《实验动物使用许可证》。这一突破性进展标志着研究院已建成国内领先的标准化实验动物支撑平台,可系统性解决骨科领域基础研究、疾病机制探索及创新技术转化中的动物实验资源短缺、数据可靠性不足等核心痛点,为医学科技创新提供“从细胞到临床”的全链条支撑。评审期间,由省科技厅组织的专家组...
04
2025.12
机器人辅助手术 精密解除甲状腺危机
近日,43岁的小花(化名)在南方医科大学第三附属医院普通外科接受了一项精密的机器人辅助手术,一场手术同时治愈了困扰她多时的双侧甲状腺癌与原发性甲状旁腺功能亢进。截瘫病人治疗时意外检出甲状腺重患今年三月,她因胸椎海绵状血管瘤伴不全性截瘫,在医院骨科接受治疗。在此期间,医生发现她的甲状腺右侧叶存在结节,经普通外科会诊后,建议先完成骨科手术与康复,再处理甲状腺问题。 此后小花遵照医嘱进行随访。在2025年10...
03
2025.12
首届深圳消化疾病周推动消化病学整合与创新
11月27日至30日,2025深圳消化疾病周(Shenzhen Digestive Disease Week, SZDDW)举行。大会以“整合·协作·创新·突破——前海启航,共筑消化健康新纪元”为主题,汇聚国内外消化病学领域顶尖专家,全面展示深圳在消化疾病诊疗、科研创新及公共卫生服务方面的综合实力。十年深耕启新元 前海扬帆筑高峰作为中国消化病学领域的重要学术盛会,2025 SZDDW由北京健康促进会主办,深圳医院、国家消化系统疾病临床医学研究中心深圳分中...
03
2025.12
华南首例癫痫脑机接口手术后续:每天3000次无感狙击守护健康
“发作幅度轻了一半,时间从15秒缩到10秒内,这日记本都快记满了!”11月26日,珠江医院功能神经外科住院部脑机接口病房,12岁的圆圆爸爸翻阅着密密麻麻的日记本,向郭燕舞细细汇报。两个多月前,这个被难治性癫痫折磨7年的女孩,在这里接受了华南地区首例植入式闭环自响应神经刺激器手术——一枚火柴盒大小的“电子医生”住进她的颅骨,24小时为她的大脑异常放电“排险”。郭燕舞主任给圆圆查看脑电情况15小时佩戴采集数据圆圆...
02
2025.12
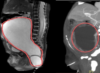
800克肿瘤“霸占”新生儿腹腔,多学科联手打赢生命第一战
在妈妈肚子里,萌萌(化名)就被发现骶尾部长了一个“大瘤子”——巨大的骶尾部畸胎瘤。这个肿瘤在她出生时已达800克,占据了大半个腹腔,挤压肠管,紧贴盆腔周围器官,生命伊始就面临严峻挑战。珠江医院多学科团队携手护航,通过高难度单孔腹腔镜微创手术,成功拆除了这颗“定时炸弹”,创造了生命的奇迹。产检惊现胎儿“腹中巨瘤”萌萌妈妈在孕34周的产检中,发现肚子里的宝宝屁股上长了个“大瘤子”,约10.1*5.3cm。随后,萌...
02
2025.12
皮肤病医院番禺皮肤医学中心(医学美容中心)启航
11月29日上午,皮肤病医院番禺皮肤医学中心(医学美容中心)开业,这座承载着六十年医脉传承的皮肤健康新地标,正式向大湾区人民敞开大门。作为全省首家皮肤病三甲医院“一院多区”战略的关键布局,番禺皮肤医学中心的落地将进一步优化粤港澳大湾区皮肤诊疗资源配置,强化区域皮肤病防治与诊疗服务能力,为广大人民群众提供更优质、便捷的全维度皮肤健康保障。公立担当铸标杆,以医为本护航健康湾区南方医科大学党委书记张玉润...
01
2025.12
援非手记|“这把技术的钥匙交给你了!”——记一次西非诊室里的胸腔置管术的教学
编者按:在西非,中国援外医生不仅治病救人,更以“授人以渔”的坚守传递医者仁心。第八附属医院急诊科医生、中国第34批援赤道几内亚医疗队队员赖树森的援非手记,记录下指导当地医护完成高难度胸腔置管术的全过程——从精准定位到应急处理,每一次手把手的教学,都是将技术的钥匙交到同行手中。当患者转危为安时,绽放的不仅是生命的曙光,更是一颗本土医疗种子破土而出的希望。西非的上午,热浪裹着大海的湿度扑在住院部的铁...
广州校区地址:广州市白云区沙太南路 1023-1063号
顺德校区地址:佛山市顺德区容桂街道马岗大道 33号
版权所有 © 南方医科大学 粤ICP备05084331号