近日,南方医院增城院区胸外科团队成功为一名13岁巨大胸腔肿瘤患儿实施了胸腔肿瘤切除术。术后患儿生命体征平稳,恢复顺利。
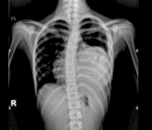
患儿小明(化名)总是咳嗽、气短,父母以为是普通感冒,带他来到南方医院增城院区儿童中心就诊。令人意外的是,这一查,竟揪出了一个藏在胸腔里的“定时炸弹”——胸部影像显示:左侧胸腔内有一个巨大的肿瘤,大小约126mm×132mm×175mm,差不多有一个椰子那么大。
从胸片可以看到肿瘤占据了左侧大部分的胸腔,左肺已经被压缩到胸腔上部很小一个区域,气管受压向右侧偏移;心脏也受压向右侧胸腔移位;因为两侧胸腔压力的不对称,脊柱也有一定程度的侧弯。

胸片可见左侧胸腔巨大肿瘤压迫心肺

从胸部CT可以更加清晰地看到心脏和大血管受压移位的情况。
面对这个巨大的胸腔肿瘤,增城院区胸外科主任熊刚团队迅速接诊。经过全面评估,初步判断肿瘤为畸胎瘤,必须尽早手术切除,否则随着肿瘤继续增大,将严重压迫心肺,甚至危及生命。
但挑战摆在眼前:患儿只有13岁,身体耐受能力有限;肿瘤体积巨大,与心脏、大血管、气道、肺组织紧密粘连;手术空间几乎为零,稍有不慎就可能引发大出血或损伤重要脏器。
这是一场硬仗。为确保手术成功,熊刚第一时间启动多学科会诊(MDT)——医学影像科、麻醉科、儿童中心、肿瘤内科、重症医学科、心血管内科、输血医学科、介入治疗团队……多个科室专家迅速集结,共同为小明制定个体化的诊疗方案,从术前准备到术后管理,每一个细节都反复推演。
手术前,院区介入治疗团队率先对肿瘤的主要供血血管进行介入栓塞,相当于提前切断了肿瘤的“粮草供应”,最大限度减少术中出血风险。
这一步,为后续手术争取了更多安全空间。
手术当天,当医生打开胸腔时,情况比预想的还要复杂——肿瘤与肺组织、心包、纵隔、肺门血管广泛粘连,正常的解剖层次几乎消失,分离难度极大。每一刀、每一剪,都像是在“雷区”中穿行。
熊刚带领团队,凭借丰富的经验和精湛的技术,一点一点分离,一毫米一毫米推进。最终,在完整切除巨大肿瘤的同时,成功保住了周围所有重要脏器。
手术成功了。
在胸外科医护团队的精心照料下,小明术后恢复顺利,生命体征平稳。那个曾经压在心口的“巨石”被搬走了,呼吸顺畅、脸色也红润起来。
熊刚介绍:“畸胎瘤起源于胚胎时期的生殖细胞,早期往往没有症状,随着肿瘤增大才会出现咳嗽、胸闷、气促等压迫表现。患儿来就诊时,心肺功能已经受到明显影响,身体发育也比同龄孩子瘦弱。如果再晚一些,后果不堪设想。”
他特别提醒家长:如果孩子出现长期咳嗽、胸闷、气短等症状,不要只当感冒处理,建议及时做胸部影像检查,早发现、早干预。